Hematome

Modification des frais de déplacement des personnes engagées à honoraires.

Hematome. L'hématome est, par définition, une tumeur formée par du sang, se formant le plus souvent sous la peau. L'hématome est une affection de la peau esthétiquement indésirable qui apparaît en général de façon soudaine.

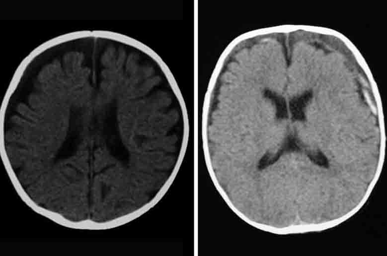
Hématome sous-dural chronique | IMAGING CONSULT
Hématome sous-dural chronique | IMAGING CONSULT (Eric Parsons)
Définition de hématome : dictionnaires de référence, étymologie, phonétique, citations littéraires, synonymes et antonymes de Hématome : définition du Trésor de la Langue Française informatisé. L'hématome sous-dural désigne une collection sanguine se trouvant dans l'espace sous-dural, espace qui est délimité par l'arachnoïde et le feuillet interne de la dure-mère. Il résulte d'un traumatisme, d'une rupture vasculaire ou d'un trouble de la crase sanguine.

Le titre « Hématome » est interprété par JEANNETTE(Alexandra LECLERC)Chef opérateur/MonteurBENOÎT CANAL PRODUCTIONAssistante Réalisation/ScripteEstelle.

Pour le traiter, il suffit, juste après le choc, de.

Hématome intra parenchymateux - PinkyBone

Hématome rétroplacentaire

Hématome A L'oeil En Latex - Maquillage Prothèse Effets ...

Assistant médical

Abcès lymphangitique des paupières - Ophtalmologie

Plaque athéromateuse avec hématome récent.

‪Hematome-sous-durale‬‏ | clinique avicenne

Hématome | Causes, Symptomes, Traitement par les plantes

Épinglé sur Santé pratique

Signes de saignement actif ou hématome stable. Willyod - Hématome Morceau disponible sur toutes les plateformes de stream distrokid.com/hyperfollow/willyod/hmatome. Définition de hématome : dictionnaires de référence, étymologie, phonétique, citations littéraires, synonymes et antonymes de Hématome : définition du Trésor de la Langue Française informatisé.